Demineralizace skloviny a jak jí předejít?
Možná jste si někdy všimli bílé skvrny na zubu, nejčastěji v oblasti dásní. Může se jednat o počáteční stádium zubního kazu, kdy sklovina měkne a stává se poréznější. Tento proces se na zubu jeví jako bílá skvrna, kterou nazýváme demineralizace.
Jak demineralizace vzniká?
V ústech se tvoří zubní plak, ve kterém se usazují bakterie. Při nedostatečném čištění nebo nadměrné konzumaci sladkých a kyselých nápojů bakterie vytvářejí kyseliny, jež narušují ochrannou vrstvu zubu – sklovinu. Z ní se začínají uvolňovat minerály, jako jsou vápník a fosfor, a sklovina tak slábne.
Jak poznat demineralizaci skloviny?
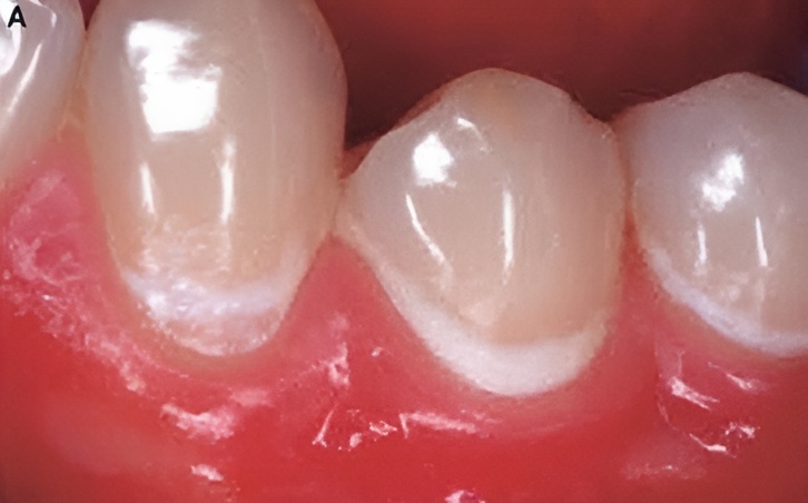
Na zubu se objeví bílá, matná, někdy lehce nažloutlá skvrna. Zub může být citlivý. V této fázi může lékař spolu s hygienistkou demineralizaci ještě zastavit. Právě zde má profesionální dentální péče největší význam.

(aktivní léze)
Jak zub zachránit?
Pomůže návštěva zubního lékaře, který stav zhodnotí a doporučí vhodnou léčbu. V případě demineralizace pomáhají také preparáty jako Elmex Gelée, GC Tooth Mousse nebo Karex Gel. Stejně důležitá je správná technika čištění zubů. Preventivně lze používat jednosvazkový kartáček, jehož správné použití vás naučí hygienistka. Po doplnění minerálů a důkladné hygieně se bílá skvrna stává neaktivní; tento stav označujeme jako zastavený zubní kaz.

(neaktivní léze)
Kdy vzniká skutečný kaz?
Pokud se situace nezlepší a nedojde k doplnění minerálů, proces demineralizace proniká do hlubších vrstev skloviny a přechází do nevratné fáze, která vyústí v zubní kaz. Tento stav již vyžaduje ošetření výplní.
Co dělat pro prevenci?
- Čistit zuby správnou technikou.
- Vyhýbat se častému popíjení sladkých a kyselých nápojů a nadměrnému příjmu cukrů.
- Pravidelně navštěvovat zubní hygienistku a zubního lékaře.
Prevence je nejjistější cesta, jak problému předejít. Profesionální kontrola pomáhá zachovat přirozený a zdravý úsměv. Rádi vás objednáme na preventivní prohlídku i hygienu a pomůžeme předejít vzniku zubního kazu a demineralizaci.
S včasnou péčí zachováme Váš úsměv bez zbytečných komplikací!